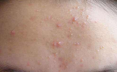
聯系電話:0755-26072727 青春痘是許多人的困惑,引發青春痘的原因有許多,治療就要找出病因,多多留心,配合科學治療。內分泌失調是痘痘發生的原因之一,影響內分泌的要素有許多,飲食即是其中之一,那么青春痘怎么治才治好呢,下面有深圳膚康皮膚病�?茷樵蹅兘榻B。

醫師指出,要想完全治好青春痘,首要,臉上長痘痘需求病人到標準醫院進行治療,平常日子中做好養護,才干夠從速治好痘痘,平常日子中留心以下幾點:
1. 女人出現痘痘的首要緣由便是內分泌失調,這個時分就需要調度內分泌了,中藥關于調度女人內分泌有極好的作用,通常都是通過調度氣血下手,抵達調度內分泌的作用,對痘痘也有極好的治作用果。醫師舉薦閱覽:青春痘的緣由
2. 超卓的飲食是治療痘痘有必要的,往常飲食應該以清淡為主,忌諱辛辣影響食物,以及高糖、高脂食物,這些食物都是誘發痘痘的主要要素,因此,往常日子中一定要留神。多吃富含維生素的食物。
3. 往常日子中堅持一個超卓的心態,心態決議悉數,因此,往常日子中一定要留神堅持活潑達觀的心境,還要確保滿意的睡覺,留神勞逸聯絡,緊記不行常常熬夜等等。
深圳膚康皮膚病專科醫師提示:以上即是對專門治療痤瘡的介紹,信任您有了一定的了解,如果您還有別的疑問能夠預約咱們的在線客服進行一對一效勞。深圳膚康皮膚病專科。膚康正以簇新的精神面貌、美麗的醫療環境、高新的醫療技能竭誠為各界人士供給溫馨、便捷、優異的效勞。費用揭露通明。如您有啥疑問期待點擊膚康在線預約,咱們將全程為您效勞。